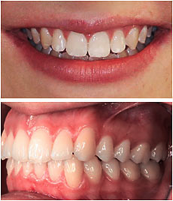
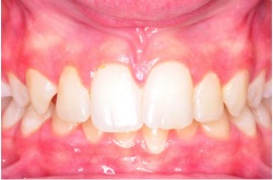
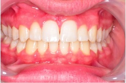
Ästhetische Kieferorthopädie
Schöne und gesunde Zähne beeinflussen die Harmonie des Gesichtes, prägen Ihre Austrahlung und signalisieren Gesundheit und Lebensfreude
Wir erreichen dies durch Korrektur von Zahnfehlstellungen, Harmonisierung des Zahnfleischverlaufes und der Zahnstellung in Bezug auf die Lachlinie.



Vor der Behandlung
Nach der Behandlung
